Logiciel Affirm® de biopsie par contraste
Associe les capacités de diagnostic par rehaussement de contraste au ciblage précis des lésions dans un flux de travail continu pour une procédure de biopsie mammaire efficace.

Un avenir plus radieux pour la biopsie du sein
La solution de biopsie Affirm® avec contraste permet de cibler et de prélever du tissu mammaire dans les lésions identifiées lors d’une mammographie avec rehaussement de contraste (CEM). Conçue pour maximiser l’efficacité du flux de travail tout en améliorant le ressenti de la patiente, la solution complète de biopsie par contraste simplifie le processus de biopsie du sein*, même pour les procédures difficiles.
Biopsie avec contraste
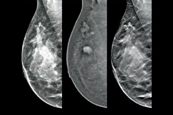
Cibler et effectuer la biopsie des lésions identifiées par la mammographie 2D avec rehaussement de contraste grâce à une procédure stéréotaxique, pour des performances diagnostiques comparables à l’IRM mammaire.1,2 Comparer les images post-marqueurs dans la même modalité que l’examen de contraste diagnostique initial.
Un flux de travail clinique efficace
Améliorer l’expérience diagnostique en réalisant la biopsie dans la même salle que l’imagerie diagnostique. L’association du logiciel Affirm de biopsie par contraste au système de guidage pour biopsie mammaire en position verticale Affirm offre un flux de travail familier, similaire à celui de la biopsie stéréotaxique.
Un meilleur ressenti pour les patientes
Améliorer le ressenti des patientes grâce à une procédure plus courte, une meilleure tolérance et une plus grande accessibilité par rapport à l’IRM mammaire.2,3 Les patientes se sentent à l’aise dans la même salle et avec le même équipement que celui utilisé lors de leur mammographie de diagnostic.

Déverrouillez les avantages du temps
Le continuum de soins en santé mammaire offre des solutions intégrées pour une plus grande fiabilité clinique, une efficacité du flux de travail et des soins attentionnés aux patientes. Il permet à plus de femmes de vivre plus longtemps en meilleure santé.
Le logiciel Affirm de biopsie par contraste fait partie de la solution de biopsie d’Hologic.
Augmenter la fiabilité du diagnostic
Le logiciel Affirm de biopsie par contraste vous permet de biopsier les lésions identifiées pendant la mammographie 2D avec rehaussement de contraste I-View™. En tirant parti de la capacité à fournir des images 2D, des images avec rehaussement du contraste et des images de tomosynthèse sous une seule compression, 4le système de guidage pour biopsie mammaire en position verticale Affirm permet de passer rapidement du dépistage à la biopsie, en tirant parti de la même chaîne d’imagerie éprouvée5 que le système de mammographie pour améliorer la visualisation 3D™ des lésions suspectes.**


Visitez notre hôpital virtuel
Parcourir notre portfolio de solutions de santé mammaire en 3D. Découvrez comment vous pouvez exploiter le gain de temps sur l’ensemble du continuum de soins en santé mammaire.
Découvrez notre solution complète de biopsie avec contraste
Le logiciel Affirm® de biopsie par contraste, associé à l’imagerie avec rehaussement de contraste I-View et au système de guidage pour biopsie mammaire en position verticale Affirm permet de réaliser une procédure de biopsie mammaire de manière plus efficace.
Une alternative efficace et rentable à l’IRM
L’imagerie fonctionnelle, grâce à la CEM, est favorablement comparée à l’IRM mammaire avec une sensibilité similaire, une spécificité plus élevée et une valeur prédictive positive supérieure.7,8 La mammographie avec rechaussement de contraste constitue par ailleurs une alternative d’imagerie diagnostique rentable9 par rapport à l’IRM, avec une durée de procédure plus courte.7,10

Preuves. Connaissances. Collaboration.
Notre portail dédié à la formation contribue à l’amélioration des soins aux patients grâce à du contenu de qualité, à la diffusion de preuves cliniques et scientifiques, et à la collaboration avec la communauté médicale.
Perspectives
Références :
*Par rapport aux procédures IRM.
**Par rapport à la biopsie stéréotaxique assistée par aspiration en position couchée.
- Alcantara R, so M, Pitarch M, et al, Contrast-enhanced mammography-guided biopsy: technical feasibility and first outcomes. Eur Radiol. 2023 Jan;33(1):417-428.
- Kamal R, Mansour S, Farouk A et al, Contrast-enhanced mammography in comparison with dynamic contrast-enhanced MRI: which modality is appropriate for whom?, Egypt J Radiol Nucl Med 52, 216 (2021)
- Hobbs MM, Taylor DB, Buzynski S, et al. Contrast-enhanced spectral mammography (CSEM) and contrast enhanced MRI (CEMRI): Patient preferences and tolerance. J Med Imaging Radiat Oncol. 2015;59(3):300-305.
- Chou C, Lewin J, Chlang C et al. *Clinical Evaluation of Contrast-Enhanced Digital Mammography and Contrast Enhanced Tomosynthesis-Comparison to Contrast- Enhanced Breast MRI* Eur J Radiol. 2015 Dec; 84(12):2501-8. [Epub 1 oct 2015].
- Schradling S, Distelmaier M, Dirrichs T et al. Digital Breast Tomosynthesis-guided Vacuum-assisted Breast Biopsy: Initial Experiences and Comparison with Prone Stereotactic Vacuum-assisted Biopsy. Radiology. 2015 274:3,654-662.
- PLN-10394_001_01 – Affirm Contrast Biopsy Study.pdf.
- Li L, Roth R, Germaine P, et al. Contrast-enhanced spectral mammography (CESM) versus breast magnetic resonance imaging (MRI): A retrospective comparison in 66 breast lesions. Diagn Interv Imaging. 2017;98(2):113-123
- Xing D, Lv Y, Sun B, et al. Diagnostic value of contrast-enhanced spectral mammography in comparison to magnetic resonance imaging in breast lesions. J Comput Assist Tomogr. 2019;43(2):245–251
- Patel B, Gray R, Pockaj B, et al. Potential Cost Savings of Contrast-Enhanced Digital Mammography. AJR Am J Roentgenol. 2017;208(6):W231-W237.
- Coffey K, Jochelson MS. Contrast-enhanced mammography in breast cancer screening. Eur J Radiol. 2022;156:110513.
Usage préconisé : Le système de biopsie par contraste Affirm est un accessoire en option pour le système de mammographie numérique plein champ Selenia Dimensions 2D et le système 3Dimensions. Il permet la localisation précise des lésions du sein en trois dimensions en utilisant des informations extraites de paires stéréotaxiques d'images en deux dimensions. Ce système est conçu pour guider les interventions telles qu'une biopsie, une localisation pré-chirurgicale ou l'installation de dispositifs de traitement. La Mammographie numérique améliorée contrastée (CEDM) est une extension de l'indication existante pour une mammographie de diagnostic à l'aide du système Selenia Dimensions et du système 3Dimensions. L'application CEDM permet d'obtenir des clichés du sein améliorés par contraste grâce à une technique d'énergie double. Cette technique d'imagerie peut être utilisée en complément d'une mammographie et/ou d'une échographie de suivi afin de localiser une lésion connue ou suspectée. Le système de biopsie par contraste Affirm est destiné aux patientes pour lesquelles une biopsie a été recommandée et qui ont eu un résultat suspect sur une précédente imagerie avec contraste ou qui ont des lésions qui peuvent ne pas être révélées sous d'autres modalités.
Classe : Dispositif médical de Classe IIb.
Fabricant : Hologic, Inc.
Lire attentivement les instructions figurant dans le manuel d’utilisation.
Fiches de données de sécurité
Notices
Produits associés
2797
0482
Hologic BV, Da Vincilaan 5, 1930 Zaventem, Belgium.
Numéro de l’organisme notifié, le cas échéant